審美セラミック治療

お電話でのご予約・お問い合わせ

0587-50-6789

※【当院が初めての方】虫歯リスクがわかる唾液検査 (無料)

キービジュアル

「ダイレクトボンディング(自費)」に対応

口元の美しさ」で
お顔全体の印象も変えられます

画像
  • セラミック矯正にも対応
  • CAD/CAM冠(保険適用)もできます
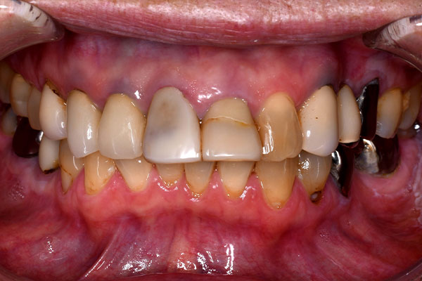
  • 治療前
  • 治療後
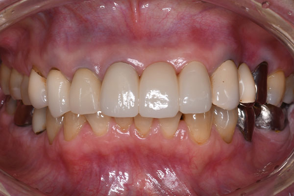
  • 治療前
  • 治療後

外傷による歯冠破折で来院された患者様です。両側中切歯のエナメル質に多数の亀裂を認めたためセラミッククラウンによる補綴処置を行いました。費用は1本132,000円です。

  • 治療前
  • 治療後

臼歯の虫歯治療を行った症例です。これだけ歯を削る必要がある場合、今までであれば歯を全周削り完全に覆うクラウンでの補綴が必要でしたが、現在では材料の進化とともに最小限の切削で咬合面のみを覆うオーバーレイでの修復が可能になりました。審美的にも非常に満足していただけました。費用は110,000円です。

注目歯の「色」も「形」も変えられるセラミック矯正

画像

当院では「セラミック矯正」にも対応しています。セラミック矯正とは、歯の形や色、歯並びを同時に整えていく治療法です。具体的には、セラミックの被せ物をすることで、より美しい口元を創造します。一般的な矯正と何が違うのか、下記に比較をしてみました。

歯列矯正とセラミック矯正の「比較」

治療期間

治療法

その他

矯正歯科

画像

2年~3年

矯正装置

・抜歯が必要なケースがある
・歯並びの後戻りのリスクがある

セラミック矯正

画像

1回~3回

セラミックの被せ物

・抜歯は不要
・歯の色は/形の調整も可能
・歯を削る必要がある

セラミック矯正は短期間で美しい口元になれます。ただし、健康な歯を削る必要があるため、ご自身の歯を削ることに抵抗感がある方は、矯正治療をお勧めします。矯正治療の詳細については大人の矯正歯科をご覧ください。

美しい口元を導く「理論」に基づいた治療

画像

「美しい歯」と聞くと、主観的で抽象的なものと考えられる方が多いと思いますが、実は具体的な数値で導き出すことができます。この理論を反映させることで、多くの方が美しいと感じる口元を導くことが可能です。当院が行っている具体的な取り組みをご紹介します。

美の「数値計測」

歯だけではなく、歯と唇、歯と歯肉の関係なども考慮することで、「美しい口元」を創造することができます。

唇と歯の関係(Lip to Tooth Relationship)

画像

笑った時に、右の画像のように、下唇のアーチと歯並びのアーチを一致させると、口元の美しをより際立たせることができます。
著者: 山崎長郎 クインテッセンス出版: エステティック クラシフィケーションズ より引用

ゴールデンプロポーション(Golden Proportion)

画像

前歯の美観を高めるために、「中切歯(1.618)」、「側切歯(1)」、「犬歯(0.618)」という比率で並べると、審美的に優れた配置が実現します。

正中線と歯並びのバランス(Median line)

画像

上顎前歯の中央に位置する線を「正中線」と言います。この正中線を顔の中心に配置することにより、整ったバランスの良い歯並びを実現することができます。

生物的幅径(Biological width diameter)

画像

口元の美しさには「歯肉」も大きく影響します。生物学的な幅を考慮して、精密にフィットする被せ物を作製することが重要です。

患者さんの「理想のイメージ」も大切にします

画像

美しい口元を導く理論がある、というお話をしましたが、審美セラミック治療において、患者さんの理想のイメージに近づけることも大切です。

当院では、治療の各工程で患者さんとのイメージのすり合わせを行い、治療後のギャップが生じないよう工夫しています。具体的には次の通りです。

治療前のカウンセリング

画像

治療を始める前に、まずは患者さんのお悩みや今回の治療で達成したいことをお伺いします。雑誌の切り抜きなどをお持ちいただいたり、当院の過去の症例模型を基に、具体的なイメージを構築していきます。

セットアップ模型の活用

画像

まずは歯型を採取させていただきます。その型を基に、歯の形状配置のイメージを合わせていきます。

仮歯を活用し審美性を追求

画像

前歯」の治療は特に審美性が重視されます。そこで当院では、被せ物を完成させる前に仮歯を活用して、以下の項目をチェックします。この段階で、細部にわたる調整を必要に応じて実施します。

見た目のイメージの確認
噛み合わせの確認
しっかり噛めるかの確認
耐久性の確認

注目!当院の型取りは苦しくありません!

画像

被せ物の製作には「型取り」が必要不可欠です。従来の方法では、口の中に粘土のような印象材を入れて型を取るという手法が用いられており、特に嘔吐反射の強い方にとっては大きな負担となっていました。

しかし、当院ではすべての患者さんが安心して速やかに歯型を取ることができるよう、「iTero(アイテロ)」という最先端の光学スキャナーを採用しています。このペン型のカメラを使って口腔内をスキャンすることで、迅速かつ快適に正確な型取りを実現しています。

美しさの「長期安定」

画像

当院は一時的な美しさでは、継続的な美を追求しています。せっかく治療によって美しい口元を手に入れても、虫歯や歯周病になってしまえば、審美性、機能性ともに損なわれてしまうため、当院では、マイクロスコープ/高倍率ルーペを活用しています。

視野を拡大してくれる「マイクロスコープ/高倍率ルーペ」

画像

セラミック治療は削った歯に被せ物をする治療です。この時、歯とセラミックの間に「隙間」が生じることがあります。この隙間から虫歯菌が侵入すると、被せ物の下で虫歯が進行してしまいます。

マイクロスコープ/高倍率ルーペを使用し、肉眼の数倍~十数倍の視野で治療を行います。こうすることで、隙間なく被せ物を装着できます。

長期安定を叶える「身体に優しい素材」を使用

多くの患者さんが詰め物や被せ物と聞くと、「銀歯」を思い浮かべると思います。しかし、銀歯には金属アレルギーを引き起こすリスクがあり、さらに歯茎に金属イオンが沈着し、ブラックラインと呼ばれる黒い線が生じる原因となることがあります。

  • 画像

    アレルギー

  • 画像

    ブラックライン

歯の治療は健康を目的として行われますが、時にはその治療が歯や全身の健康に悪影響を及ぼす場合があります。当院では、そうしたリスクを最小限に抑えるために、審美性機能性を兼ね備えた身体に優しい素材を用いて治療を提供しています。ここでは、当院が扱う代表的な素材をご紹介します。

ジルコニアクラウン

画像

ジルコニアはセラミックスの一種で、その美観と強度の高さから「人工ダイヤモンド」とも呼ばれています。全て陶器製のため、体に優しく、通常の保険適用の金属製歯とは異なり、金属イオンの流出の心配もありません。耐久性も高いため、食いしばりが強い方に特に推奨される素材です。

オールセラミック

画像

オールセラミックは天然歯に近い色調強度を持ち、金属を使用していないため体に優しい材料です。ただし、ジルコニアセラミックと比較すると、耐久性はやや劣ります。

コラム!短期間で「白い歯」を手に入れられます

画像
画像

当院では「ダイレクトボンディング法」と呼ばれる治療も行っています。一般的なセラミック治療と比べて、安価かつ短期間で白い歯になれます。
歯を削る量も最小限に抑えられるため、患者さんに優しい治療法と言えます。

また、「CAD/CAM冠」による治療も行っております。CAD/CAM冠は、スキャンした歯型を基に、コンピューター制御で製作する被せ物です。スピーディーかつ保険適用で白い歯を手に入れられます。ご興味のある方は、ぜひご相談ください。

初診「個別」相談へのご案内

当院では、患者さんが抱えていらっしゃるお口のお悩みや疑問・不安などにお応えする機会を設けております。どんなことでも構いませんので、私たちにお話ししていただけたらと思います。
ご興味がある方は下記からお問い合わせください。
※初診では1時間ほどお時間いただきます

  • WEB予約
  • メール相談

お電話でのご予約・お問い合わせ

0587-50-6789

このページの先頭に戻る