精密根管治療

お電話でのご予約・お問い合わせ

0587-50-6789

※【当院が初めての方】虫歯リスクがわかる唾液検査 (無料)

キービジュアル

マイクロスコープを使った
「精密根管治療」

  • CTによる「可視化治療」
  • 「ZOO」「ラバーダム」で再感染防止
  • 「MTAセメント」による根管充てん
  • 抜歯を防ぐ「歯根端切除術」
  • 治療前
  • 治療後
  • 治療前
  • 治療後

他院にて抜歯と診断され、当院に来院された患者様。根尖病巣が大きく、歯茎から膿が出ている状態でした。歯の根っこが強く曲がっており、根管治療での改善はみられなかったので、口腔外にて逆根管充填を行い整復した症例です。術後2ヶ月ですが、現在、症状もなく治癒傾向にあります。

  • 治療前
  • 治療後

他院にて根管治療を受けているが症状の改善がみられず、歯茎の腫れも引かないため当院を受診された患者様です。無菌的処置を行い、封鎖性の高い根管充填剤を用いることで症状は改善し、術後3か月後のCTで根尖病巣の縮小を認めました。根管治療は2回で終了しています。

  • 治療前
  • 治療後

他院にて破折の疑いがあるため経過観察をしていたが、積極的な治療を希望されて来院された患者さんです。マイクロスコープで根管内を確認してみると、破折線を認めましたが、骨透過像の位置とは異なるため根管治療を行いました。治療後6か月経過時のCT像ですが骨の回復が認められます。根管治療の費用は88,000円です。

再発リスクの高い、日本の根管治療

画像

虫歯の痛みで神経を取ったはずなのに、再び歯が痛くなったことはありませんか?

神経を取る治療を「根管治療」といいますが、神経を取った歯には炎症が再発することが多いのです。
ある調査によると、国内で神経を取った歯の半数以上で、炎症の再発が見られたそうです。つまり、日本の根管治療の成功率は50%にも満たない、ということを示しています。

再発の原因は、患部に残る虫歯菌です。
患部に虫歯菌を残したまま治療を終えてしまうと、炎症が再発してしまうのです。

根管治療は「最初が肝心」です

画像

神経を取る治療について、もうひとつ知ってほしいことがあります。

神経を取ると、歯の寿命が短くなってしまいます。

歯の神経(歯髄)には、歯に栄養を運ぶ血管も含まれています。神経を抜くと歯は栄養を取り入れることができなくなり、時間の経過とともに弱く、脆くなります

弱くなった歯に炎症が再発して治療を行うと、さらに歯を削る必要があり、どんどん歯が弱くなってしまいます。弱くなった歯はいずれ割れてしまい、抜歯の運命をたどります。

根管治療は、繰り返しができない治療です。そのため、成功率の高い治療を最初に行うことが重要です。

成功率の高い「精密根管治療」

画像

根管治療の成功率を上げる器具や技術は、すでに開発されています。実際に、欧米では成功率90%を超える治療が行われています。しかし、日本では保険診療の制約で、欧米では使われている器具や技術を使うことができません。日本の根管治療の成功率が低い理由はここにあります。

当院では、これらの器具、技術を積極的に取り入れた「精密根管治療」を行っています。
当院の根管治療の特徴は、次の通りです。

  • 「マイクロスコープ」「高倍率ルーペ」による精密治療
  • 「CT」による可視化治療
  • 「ラバーダム」「ZOO」で再感染防止
  • 「ニッケルチタンファイル」の利用

以下、詳しくご紹介します。

「マイクロスコープ」「高倍率ルーペ」を使った精密治療

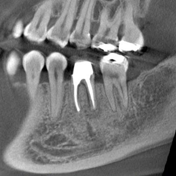
次の画像をご覧ください。歯の中にある黒い線が「根管」を示しています。

画像

根管の形は患者さんひとりひとりによって異なります。さらに、狭いところは、直径1mmもありません。こんなに狭くて複雑な根管から、細菌に感染した組織をきれいに取り除くというのは、どんなに難しい作業なのかお分かりいただけると思います。

画像
画像

当院では、歯科専用の顕微鏡「マイクロスコープ」や「高倍率ルーペ」で患部を見ながら治療します。特に、マイクロスコープは、患部を十数倍に拡大して見ることができます。狭くて複雑な根管内を処置するには、拡大視野による施術が欠かせません。

写真は、実際にマイクロスコープで見た患部の様子です。どれだけ精度の高い治療ができるか、おわかり頂けると思います。

「CT」による可視化治療

画像

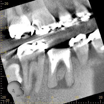
根管は狭く、複雑な形をしています。根管は歯の中にあるので、肉眼では見えません。根管の形を確認するためにはX線検査が必要です。
多くの歯科医院では、2次元の「レントゲン」を使って診察しますが、当院では「CT」を使います。「CT」は、お口のまわりを360度回転しながら撮影するので、立体的で鮮明な影像が得られます。

次の画像をご覧ください。これは、CTとレントゲンで同じ患部を撮影した画像です。

左の画像がCT、右がレントゲンで撮影したものです。

左の写真の赤丸で囲んだところは黒い影が映っています。これは「炎症」を示しています。一方、右の写真には黒い影はありません。つまり、レントゲンだけを使って診断すると、この炎症には気付かないということです。放置している間にこの炎症は悪化し、抜歯となってしまうかもしれません。

CTの鮮明な影像によって、正確な診断が可能になります。

「ラバーダム」「ZOO」で再感染防止

歯の根の炎症を引き起こすのは、目には見えない虫歯菌です。いかに根管内を無菌状態にするかが、根管治療の成否を分けます。特に注意が必要なのは「唾液」です。唾液には多くの細菌が含まれており、根管をきれいに殺菌洗浄しても、唾液が入ってしまったら再発のリスクが高まります。

画像

そこで当院では、治療する歯以外のお口全体を「ラバーダム」というシート状のゴムで覆ってから治療します。これにより、患部に唾液が入る心配はありません
※ラバーダムは自費診療のみの対応となります。

画像

保険診療では、「ZOO」という器具を使います。ZOOは、唾液を吸い取り、治療中のお口の中を乾燥させる装置で、患部に唾液が入るのを防ぎます。バネの力でお口を開けたままにしてくれるので、患者さんも治療を受けるのが楽になるというメリットもあります。

感染部位を取り除く「ニッケルチタンファイル」 

画像

感染部位を取り除く作業には、「ファイル」という、ヤスリのような器具を使います。
一般的な歯科医院では、ステンレス製のファイルが使われますが、ステンレスファイルは硬く、複雑な形をした根管内にはうまく入らないことがあります。無理に入れると、歯の根に穴を開けてしまうこともあります。
当院では、ニッケルチタン製のファイルを使います。ニッケルチタンファイルは柔らかく、根管の複雑な形状に合わせて曲がるので、感染部位をしっかり取り除けます。

「次亜塩素酸ナトリウム」「EDTA」で根管を殺菌洗浄

画像

ファイルで感染部位を取り除いた後、根管内には細かい削りカスがたくさん残っています。これらの削りカスにも虫歯菌が付着しているのですが、手作業ですべてを取り除くのはまず不可能です。削りカスを残したまま治療を終えてしまう歯科医院も多く、炎症の再発リスクが高い理由のひとつになっています。
当院では、「EDTA」「次亜塩素酸ナトリウム」などの殺菌力のある薬品で、根管内の削りカスを溶かして洗浄します。

「MTAセメント」「バイオセラミック」で根管充てん

画像

神経を取り除き洗浄した後の根管は、空洞になっています。ここを「充てん材」で埋めていきます。当院では、「MTAセメント」「バイオセラミック」という充てん剤を使用します。これらの充てん材には、次のような特徴があります。

  • 密閉性が高く、細菌が入り込むすき間を作らない
  • 強い殺菌力で、患部の虫歯菌を退治する
  • とても硬く、歯を内側から支える

これらの取り組みによって、当院では、欧米に匹敵する成功率のある根管治療を実践しています。

抜歯を防ぐ「歯根端切除術」

日本で一般的に行われている根管治療では、多くの場合に炎症の再発が起こります。炎症が再発すると、歯の根の周囲に膿が溜まります。炎症の程度によっては、通常の根管治療では対応できず、抜歯と診断されることがあります。

当院では、「歯根端切除術」という術式で、歯を抜かずに治療できることがあります。歯根端切除術では、歯茎を外から切り開き、歯の根の先端と膿の袋を取り除きます。

歯根端切除術は、口腔外科の治療となります。当院には口腔外科の専門医も在籍しております。安心してお任せください。

画像

「セカンドオピニオン」も受け付けています

画像

根管治療は、最初にどのような治療を受けるかが非常に重要です。

かかりつけの歯科医院で、神経を取ると診断された場合は、どのような方法で再発を防ぎ、成功率を高めているか確認することをお勧めします。

当院は、セカンドオピニオンも受け付けています。マイクロスクープを使って歯の中の様子を動画撮影し、患者さんにご説明いたします。お気軽にご相談ください。

初診「個別」相談へのご案内

当院では、患者さんが抱えていらっしゃるお口のお悩みや疑問・不安などにお応えする機会を設けております。どんなことでも構いませんので、私たちにお話ししていただけたらと思います。
ご興味がある方は下記からお問い合わせください。
※初診では1時間ほどお時間いただきます

  • WEB予約
  • メール相談

お電話でのご予約・お問い合わせ

0587-50-6789

このページの先頭に戻る