原因不明の体の不調、
お口の「銀歯」が
原因かもしれません
以下のお悩みがある方は、お気軽にご相談ください。
- 口内炎ができやすい・治りにくい
- 口角炎ができやすい・治りにくい
- 原因不明のアトピー性皮膚炎がある

以下のお悩みがある方は、お気軽にご相談ください。


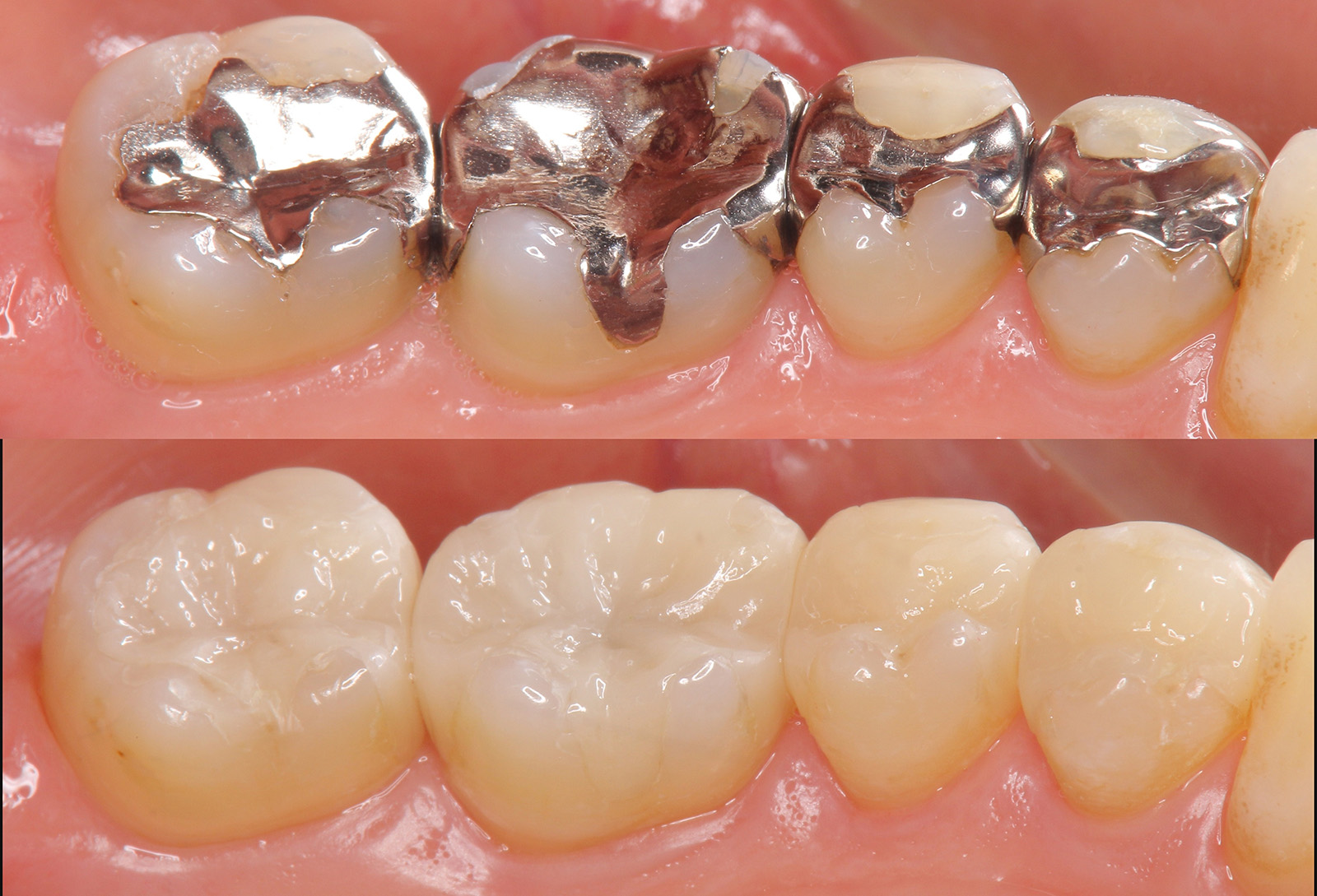
ネックレスやピアスなどの金属製品を身に付けると、かゆみやかぶれが生じることがあります。これを「金属アレルギー」といいますが、歯医者の治療で入れた銀歯が原因で、アレルギーの症状が引き起こされることがあります。
銀歯は、イオンとして唾液中に溶け出し、体内に取り込まれます。そこでたんぱく質と結合し、アレルギー症状を引き起こすのです。
・口内炎や口角炎ができやすい、治りにくい
・原因不明のアトピー性皮膚炎がある
これらの症状に心当たりがあれば、銀歯が原因の金属アレルギーかもしれません。放っておくと、自己免疫疾患など、さまざまな症状につながる可能性もあります。
気になる方は、ぜひご来院いただき、検査を受けてみてください。

お口の中の状態、皮膚のかぶれの有無などを確認します。

検査結果をもとに、医師が診断を行います。

体に合わない金属がお口に入っていた場合は、別の歯科素材に交換する治療を行います。
歯医者の治療では、通常、詰め物や被せ物、入れ歯などで金属が使用されます。当院では、金属を使わない「メタルフリー」の歯科素材も用意しています。これらの素材は、金属アレルギーを引き起こす心配がありません。

「ジルコニア」はセラミック系の素材の中でもっとも美しく、耐久性にも優れています。このことから、「人工ダイヤモンド」と呼ばれることもあります。噛み合わせの力がかかるところにも安心して使用できます。陶器素材なので身体に優しく、金属アレルギーの心配がありません。

金属を一切使用していない、身体に優しい素材です。耐久性についてはジルコニアに一歩劣りますが、天然歯に近い明るい色調と、自然な強度が特徴です。
当院では、患者さんが抱えていらっしゃるお口のお悩みや疑問・不安などにお応えする機会を設けております。どんなことでも構いませんので、私たちにお話ししていただけたらと思います。
ご興味がある方は下記からお問い合わせください。
※初診では1時間ほどお時間いただきます
